녹내장 초기증상은 서서히 진행되어 초기에 알아차리기 어려운 경우가 많습니다. 그러나 적절한 시기에 발견하면 시력을 보호하고 질병의 진행을 늦출 수 있죠. 시야가 좁아지는 느낌이나 눈의 불편함이 있다면 단순한 피로가 아니라 녹내장의 초기 신호일 수 있습니다. 이번 글에서는 녹내장의 초기증상과 함께, 정기 검진의 중요성을 살펴봅니다.






녹내장이란
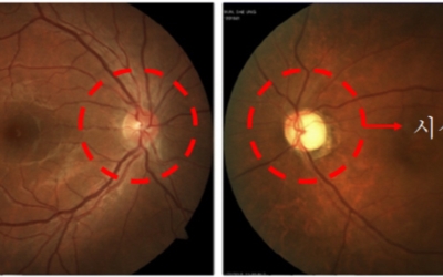
녹내장(綠內障)이라 하는 것은, 한자를 풀어내면 안구 내 녹색 장애물이라고 부르는 뜻이 있답니다. 눈에 들어온 빛을 뇌로 전달하는 시신경에 이상 발생, 시야결손이 나타나는 질병입니다. 시신경에 이상이 생겨 시야 결손이 생기고 그대로 방치하게되면 실명에 이르기까지 해요.
안압이 높아서 발생되는 가능성도 있지만 안압이 정상이어도 안압의 변동폭이 크거나 시신경으로 가는 혈액의 순환이 잘 안되서, 유전자 이상 과 같은 이유로 녹내장이 생기기도 해요. 녹내장은 안구의 압력, 안압이 상승해서 시신경이 훼손되는 경우 주로 발생하 다고 알려져 있었지만 요즘엔 안압이 정상적인데도 녹내장이 나타나는 경우가 많아졌다고 해요.
녹내장이 발생되는 이유
눈 속에는 각막과 수정체에 영양분을 보내기 위해 방수 라고 하는 액체가 계속 순환하게 됩니다. 방수 라고 하는 것은 안구의 형태를 유지하게 해주는데요, 눈이 너무 말랑하게 되거나 단단하게 되지 않도록 정상적인 동그란 안구 모양을 유지하게 해준다고 합니다. 안압은 이런 안구의 형태를 보존하는 눈의 압력을 말해요.
그렇다면 안압은 왜 오르는 것일까요? 방수가 적당히 빠져 나가야 적당한 압력이 보존되는데요, 이 방수의 생산과 방출이 정상적이지 않게 되면 안압이 비정상적으로 상승하게 되는것이랍니다. 그렇다면 또 방수는 왜 비정상적이게 되는 것인지 궁금하실텐데 여러 가능성이 있지만 명확히 발굴된 것은 없습니다.
- 60세 이상인 경우 : 녹내장은 나이가 들수록 더 흔해집니다.
- 극도의 근시 및 원시가 있는 경우
- 눈 부상 및 특정 유형의 눈 수술을 받은 경우
- 긴 시간 코르티코스테로이드 약물 보통과 다르게 안약을 섭취하는 경우
- 안압이 높은 경우
- 민족성 - 아프리카, 아시아 출신의 사람
- 가족력
- 고혈압, 심장병, 당뇨병, 겸상 적혈구 빈혈등의 특정 질환이 있는 경우
- 중앙에 얇은 각막이 있는 경우
아무래도 몸이 노화함에 따라 몸의 여러 기능이 망가지게 되을 정도로 알맞게 기능을 하지 못하게 됨에 따라 발생할 가능성이 큽니다. 7,80대 고령 뿐만 아니라 40대가 지나는 시점부터는 녹내장 발병 위험이 해마다 0.1%씩 상승한다고 해요. 그러니 본인이 40대 이상이시라면 아래 녹내장 증상과 녹내장 초기증상에 대해 더 디테일하게 봐주시기 바랄게요.






녹내장 초기증상
눈앞이 뿌얘지거나 통증이 있답니다.
빛을 똑바로 쳐다볼 때 달무리가 생깁니다.
야간 시력이 떨어져요.
시야중에 보이지 않는 부분이 생깁니다.
운동 시 두통이 있답니다.
이른 아침이나 저녁에 두통이 생깁니다.
눈의 초점을 맞추기가 어려워져요.
녹내장 증상
무증상
녹내장은 소리 없는 시력 도둑이라고 부르는 말이 붙듯이, 증상이 없는 경우가 일반적입니다. 이로 인하여 우연히 안과에 들렀다가 녹내장을 진단받는 경우가 일반적이라고 합니다.






안통과 두통
녹내장 증상이 발생하다 보면 참을 수 없는 안통과, 두통 등을 동반한 증상이 나타나게 됩니다.
안구 충혈
녹내장은 안통과 두통뿐 아니라, 시신경 훼손으로 인한 안구 충혈을 유발할 수 있답니다. 만일, 이러한 안구 충혈이 지속하여 나타나는 경우 녹내장을 의심해볼 수 있답니다.
시력 저하
녹내장은 증상이 없는 경우가 대부분인데 시력이 서서히 줄어든다는 특장점이 있답니다. 어느 날 물체가 흐릿하게 보이거나, 시력이 감소한 것 같다는 느낌을 받을 경우 녹내장을 의심해볼 수 있죠
속 울렁거림, 구역질
녹내장이 발생하다 보면, 속 울렁거림과 토악질 증상이 더불어 나타날 수 있다고 하네요.
녹내장 증상이 갑작스럽게 급격하게 악화되면서 발생할 경우 급성 폐쇄각 녹내장일 가능성이 있답니다. 또 이런 증상이 서서히 진행되는 만성 개방각 녹내장이 있는데 이 경우는 자각이 어려워 치료 시기를 놓치는 경우도 있다고 하니 알게 모르게 눈이 아픈 증상이 잦다거나, 이유를 모르는 두통이 생긴다면 눈의 건강이 안좋은 것일 수 있기 때문에 잘 체크해야겠네요.
보통은 두통과 눈을 연결시키기 어려워서 자각이 어려울텐데, 녹내장 증상과 녹내장 초기증상을 미리 알아두신다면 이런 몸의 변화가 생길때 좀 더 빠르게 대처할 수 있겠죠?






녹내장 자가진단법
1. 시야 결손이 있어요.
2. 빛 주위에 무지개가 보입니다.
3. 눈이 침침하다
4. 어두운 곳에서 잘 안보인다
5. 운전 중 신호를 놓칠 때가 있다
6. 눈을 쉬게 해 줘도 증상이 개선되지 않는다
이 중에 한개 이상이된다면 주기적인 검사나 의사 선생님의 진단이 필요해요. 눈은 한번 신경이 훼손되면 회복이 거의 어렵습니다. 이로 인해서 녹내장 치료의 목적은 악화를 막고 늦추는 것이 목적이자 최고의 선택입니다.
녹내장 치료방법
눈 상태에 따라 차이가 있으나 보통은 약물 치료로 치료가 가능하다고 해요. 처음엔 약물로 시작하고 차도가 없을 경우 이후에 레이저나 섬유주절제술을 시행하게 됩니다. 그러므로 가급적 초기에 발견하여 약물로 쉽게 치료하는 것이 환자에게도 더할나위 없이 좋은 방법입니다. 약물치료는 눈에 점안액을 넣는 방법, 복용하는 약을 통해 안압을 감소시키는 방법이 있답니다.
녹내장에 좋은 음식
시금치- 시금치는 비타민 A 함유하고 있는 분량이 많아서 우리 눈의 건강과 시력에 보호에 도움이 돼요.
당근- 당근에는 베타카로틴 물질이 풍성하게 들어 있는데 베타카로틴은 우리의 신체에서 비타민A로 바뀌고 비타민 A는 안구건조증, 야맹 등을 예방해 줍니다.
블루베리 - 블루베리는 눈에 좋은 것으로 널리 알려진데요 안토시아닌 물질이 매우 많은데 이 안토시아닌은 시력이 낮아지는 것을 예방해주며 노화를 방지하고 눈의 피로를 이완시켜 준다고 해요.
호두 - 호두는 비타민 E를 팜유 하고 있었어 눈상을 예방하고 녹내장을 방지하는 도움을 줘요.
전복 - 타우린 물질이 매우 많은 전복은 우리 눈 건강에 도움을 줍니다. 타우린은 망막의 기능을 가화 시켜 시력 증진에 도움을 줘요.
아몬드 - 아몬드에는 비타민E와 비타민C와의 결합을 하게 해 주어 눈을 튼튼하게 만들어 줘요.
녹내장 예방 방법
안압이 올라가며 녹내장이 나타나는 것은 알겠는데, 그럼 어떻게 방지할 수 있을까요? 일단 정기적인 안과 진료를 통해 안압을 체크하며 시력을 지속하는 편이 좋아요. 정기적 안압 측정을 해주세요. 어두운 곳에서 오랫동안 책 읽기 금지 (스마트폰도 좋지 않겠죠?) 눈에 넣는 스테로이드제 과다 활용 금지하시고 가족력이 있는 경우 7년에 한 번 검진하는 것이 좋습니다.
그 외에는 규칙적인 생활 등을 통해 건강을 보존하는 것이 가장 좋습니다. 뿐만 아니라 엎드려서 자는 자세는 안압을 상승시킬 수 있어서 피하는 것이 좋다고 해요. 작은 행동이긴 하지만 매일같이 한 번씩 엎드려 잔다고 하면 장기적으로 안압에 영향을 미칠 수 있답니다. 주로 직장이나 공부하다가 잠시 잘 때 엎드리게 되는데 왠만하면 의자를 뒤로 젖혀서 자는게 좋을 것 같아요.
하지만 무엇보다 녹내장의 가장 주요한 예방법은 정기적인 검사라고 할 수 있습니다. 보통은 녹내장 환자는 회사원 건강 검진이나 라식, 라섹 수술 등 시력교정 수술 전에 정밀검사를 하다가 안압검사를 통해 발견하는 경우가 많다고 해요. 노안이 시작되는 40대 이상이시거나 고혈압 혹은 당뇨 등 심혈관계 질환이 있는 경우, 근시가 심한 고도근시나 초고도 근시를 가지신 분, 예방 차원에서 가족력이 있는 경우라면 6개월에서 1년에 한 번 주기적으로 안과를 찾아 녹내장 정밀검사를 받기를 추천드리도록 하겠습니다.
녹내장 증상과 녹내장 초기증상에 대하여 알아봤습니다. 읽는 분께 많은 도움이 되셨기를 바래요.
경주 가볼만한곳 베스트 10 추천 필수 명소
경주하면 저는 어릴 적 수학여행 갔던 기억이 떠오르는 분이 많으시죠? 경주는 우리나라 역사도 배울 수 있는 곳이 많아 유아들과 함께 여행가기 훌륭한 곳이고 물론 부모님도 매우 좋아할만한
ukaa.kevenferry.com
식도암 초기증상 6가지 나타나는 징조
식도암이란 식도에 생긴 암입니다. 식도는 삼킨 음식물이 위로 내려가는 통로로서, 약35-40cm 길이의 튜브 모양이며, 기도와 심장의 뒤쪽에 있다고 하며, 소화기능은 없습니다. 식도암은 거의 대
ukaa.kevenferry.com
마그네슘 효능 10가지 이점
이번 글은 마그네슘에 대한 포스팅을 준비하였습니다. 우리 생활 속에서 놓치고 있는 부분이 많으니 잘 알아두시기 바랄게요. 마그네슘 효능마그네슘은 광물 중 하나인데요, 우리 몸 속에도 마
ukaa.kevenferry.com