아래의 포스팅에서는 백혈구 수치가 높으면에 관하여 알아보려고 하는데요 핵심만 골라서 알기 쉽게 정리해봤으니 세세히 읽어보시고 참고하시기 바래요.
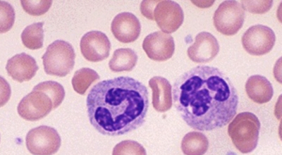
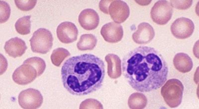
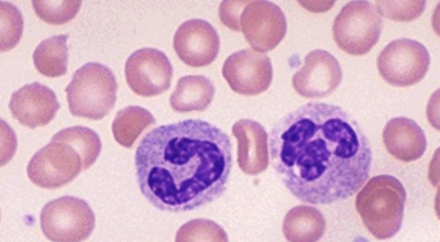
백혈구란?
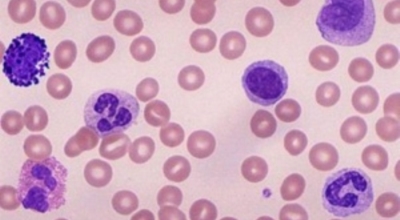
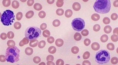
우선 백혈구에 대해서 많이 들어보셨겠지만 자세하게는 잘모르시는분들이 많을거라는 생각에 백혈구에 대하여 설명드려요. 학교다닐때에 배운 기억으로는 백혈구에는 혈소판과 백혈구 적혈구가 있다고 배웠는데 백혈구는 적혈구보다 거대하지만 어떤 정해진 형태가 없기때문에 이렇게 생겼다고 단정짓기가 애매모호한것이 사실이에요.
우리는 호흡과정을 거치는데요 호흡과정을 거치면서 눈에 보이지않는 균들을 들어마시거나 및 음식섭취를 통하여 균들도 같이 섭취하곤 하는데, 이렇게 우리몸에 세균과 바이러스가 침투했을때 백혈구가 세균들과 싸워서 우리몸을 보해해줍니다.






백혈구 수치 정상범위
백혈구 정상수치는 성인기준 혈액 1uL(마이크로리터)당 4,000~10,000 입니다. 이 수치보다 높거나 낮다면 각별히 주의하셔야 합니다. 수치가 정상범위보다 높다면 바이러스나 세균이 침투하던가 질병으로 인해 수치가 증가했을 가능성이 높다고 합니다. 반대로 수치가 정상보다 낮다면 면역력이 떨어진 상태로 질병에 취약해질 수 있어요.
백혈구 수치가 높으면
백혈구 수치가 높으면 - 요도염
바로 요도염인데요 백혈구 수치가 높아진다면 주로 염증이 발생한것으로 볼수있어요. 요도염은 자연치료가 될수있다는말이있는데 자세하게 알아보면은 요도염은 관계로 인해 걸리는 병으로 분류가됩니다. 요도염에 걸리게되면은 소변을 볼때에 따끔따끔거리고 손르로 간지러워서 긁게됩니다.
이렇게 나혼자의 아픔과 간지러움만 나타나면 괜찮은데 요도염은 상대방에게 감염이 될수도 있기때문에 빠른 진단과 치료가 필요합니다. 뿐만아니라 전립선염으로 전이될수있어서 더욱더 관리가 중요한질병이라고 합니다. 남성분들에게 치명적일수있는 요도염 여름이 오기전에 치료하는것이 좋습니다.






백혈구 수치가 높으면 - 담배
위에서 언급한 백혈구 수치가 높으면 나타나는 질환 외에 흡연을 하는 행위 역시 수치를 올린다고 해요. 흡연을 하는 사람이 그렇지 않은 사람보다 약 30% 정도 수치가 더 높아요. 아시다시피 흡연을 혈관 질환에 아주 좋지 못하니 미리 금연을 통해 예방하시길 바랄게요.
백혈구 수치가 높으면 - 맹장염
백혈구 수치가 높으면 맹장염도 의심해 볼 수 있다고 합니다. 맹장염은 맹장에 염증이 발생되는 것으로 심한 복통을 동반하는데 이러한 염증을 낫게 하기 위해 백혈구 수가 높아진다고 해요. 가장 유명한 증상이라고 부르는 복통을 비롯해 복부 불편감, 메스꺼움, 설사, 열 등을 동반한다고 해요.
백혈구 수치가 높으면 - 방광염
방광염은 화장실을 자주가서 훨씬 골치아픈 질병입니다. 평균적으로 건장한 성인남녀는 하루에 많아도 7,8번정도 소변을 보는것이 정상수치입니다. 방광염은 정상수치보다 훨씬 자주가면서 화장실에서 볼일을보는데도 조금씩 그양이 적은것이 특징입니다.
이런 현상은 과민성 방광염이라고 할수있어요. 방광은 소변을 모아서 일정량이 되면 배출하는 기능을 하는데 이에 비해 모아져 있지도 않은데 소변을 보러 수시로 들락거린다면 방광건강에 아주 안좋다고합니다. 악화되면 대인관계도 원만하게 되지못하고 우울증도 올수있기때문에 치료가 필요합니다.






백혈구 수치가 높으면 - 백혈병
앞선 요도염은 성병으로 분류되었다면 백혈병은 그와 특징이 반대가 됩니다. 예전에 tv프로그램에서 보면 가난한집안에서 아이가 백혈병에 걸려서 모금운동을 하는것을 본적이있습니다. 바로 면역기능을 주로 하고있는 백혈구세포들의 세포증식과 또한 분리 궤도을 통하여 발생되는 혈액의 암이라고 한줄로 요약하여 말할수있어요.
최근 응답하라에 나온 출연진중에서 혜리의 동생역으로 배우분이 급성 백혈병을 앓고있다는 소식이 들려서 주위를 안타깝게 하고있답니다. 오랜 무명생활끝에 이제서야 한줄기 빛을 보나 싶었는데 정말 너무 아쉽습니다.
백혈구 수치가 높으면 - 스트레스
현대인이 항상 달고사는 스트레스 입니다. 어느정도 적당한 스트레스는 건강에 도움이 될 수 있지만, 급격하게 스트레스를 받게 되면 백혈구 수가 증가하게 되어 이를 해결하려 한다고 해요. 하지만 스트레스로 인한 백혈구 수치 변화는 일시적이며, 장기적인 스트레스는 오히려 백혈구 수치를 낮춘다고 해요. 이제까지 백혈구 수치가 높으면 발생하는 증상들에 대하여 알아봤는데요.
가장 흔한것은 감기나 폐렴처럼 바이러스가 인체에 침투했을때 일시적으로 증가한다고 해요. 참고로 흡연자가 비흡연자에 비해 30%가량 백혈구 수치가 높습니다.






백혈구 수치가 높으면 - 요독증
요독증은 신부전에 수반하는 질환으로 신장과 연관된 질환 입니다. 신장은 우리의 신체의 혈액속 노폐물과 독소 등을 소변으로 배출시켜주며, 호르몬 균형을 맞추는 역할을 수행하는데 신장 기능이 저하되면 혈액속에 노폐물이나 독소가 쌓이라서 백혈구 수치를 올라가게 한다고 해요.
백혈구 수치가 높을때 대처
백혈구는 면역력과 높은 연관이 있어요. 평소 면역력이 저하되지 않도록 주의를 기울여야 하는데 가장 주요한 것은 좋은 생활습관과 음식 섭취입니다. 항산화 물질이 매우 많은 야채와 과일을 수시로 섭취하시고 유산균이나 식이섬유 음식도 충분히 먹도록 해야 해요. 그리고 운동을 통해 인체온도를 올리고 충분한 수면과 휴식을 통해 몸과 마음이 안정될 수 있도록 하는 것이 중요해요.
일단 많이 쉬고 규치적으로 생활하시고 수면도 하루에 7~8시간 숙면을 취할 수 있게 해요. 음식은 과일, 채식위주의 식단으로 드시고 육류는 생선, 생선알, 지방이 적은 살코기 위주로 섭취해야 해요. 그리고 술이나 인스턴트 음식, 기름진 음식, 가공식품 등은 좋지 않으므로 섭취를 금해야 해요.
백혈구 수치 올리는 음식
녹차
건강 차로 인기가 많은 녹차에는 백혈구를 활성화하는데 보탬이 되는 에피갈로 카테킨이 들어있어요. 녹차는 체내 활성산소를 제거하고 옳지 않은 콜레스테롤을 저하시키는 효과도 뛰어나서 하루에 1~2잔 정도 계속적으로 마시면 좋습니다.






삶은달걀
일반적인 때 편하게 먹을 수 있는 단백질 식품으로는 삶은 달걀이 있어요. 달걀은 단백질이 풍성하게 들어 있다고 하며 삶아서 냉장고에 넣어두면 매일같이 간편하게 챙겨 먹을 수 있어요. 편하게 백혈구 수치 올리는 음식 없을까 고민하고 있었다면 삶은달걀을 추천해요. 면역세포 백혈구는 단백질로 이루어져 있고 올바르게 작용하기 위해서는 탄수화물, 비타민, 미네랄 등도 챙겨 먹어야 해요.
마늘
백혈구 수치를 늘리고 면역력을 높여서 질병과 암을 예방해주는 음식입니다. 마늘은 음식을 만들 때 사용하는 것은 물론 흑마늘, 마늘청, 마늘환 등으로 챙겨 드실 수 있어요. 마늘의 매운맛이나 향이 부담된다면 가루를 음식에 조금씩 곁들이면 됩니다.
바나나
백혈구 수치 올리는 식품으로 면역세포의 에너지원이 되어주는 탄수화물과 단백질 대사에 필요한 비타민B6, 비오틴이 많이 들어 있어요. 바나나의 경우 가열 조리하지 않고 바로 먹을 수 있어서 영양손실 없이 좋은 효과를 얻을 수 있어요.
우리가 생각해 볼 점이 많은 백혈구 수치가 높으면에 관해서 알아보았어요. 생각 외의 내용들도 많았는데요 잘 알아두시고 참고하셨으면 좋을 것 같아요. 감사해요.
뼈에 좋은 음식 BEST 10
오늘 살펴 볼 것은 뼈에 좋은 음식에 대한 내용인데요 잘 알아두시면 도움 될 내용들이 많으니 유심히 살펴보시고 필수로 도움 받으셨으면 좋을 것 같아요. 뼈에 좋은 음식 뼈에 좋은 음식 - 자
ukaa.kevenferry.com
심장이 안좋을때 증상 10가지
우리의 신체에 혈액 순환의 가장 주요한 펌프 역활을 하는 중요시되는 장기인 심장이 있습니다. 그런데 심장이 안좋을때 증상을 알아두시면 큰병을 대처 하시는데 도움되는데요. 미리 증상을
ukaa.kevenferry.com