오늘 살펴 볼 것은 폐암 초기증상에 대한 내용인데요 잘 알아두시면 도움 될 내용들이 많으니 유심히 살펴보시고 반드시 도움 받으셨으면 좋겠네요.
폐암에 관해서
폐에 발생된 악성 종양을 말하며 오랜 기간 흡연해온 남성들에서 발병률이 높고 최근에는 각종 환경적인 요인의 영향과 간접흡연으로 흡연하지 않는 여성에서도 많이 발생하고 있습니다. 증상을 느껴 병원을 찾았을 때는 수술하기 늦은 경우가 많아 사망률이 매우 높은 암입니다. 폐 자체에서 발생하거나 다른 장기에서 발생된 암이 폐로 전이되어 발생하기도 하고 특별한 초기 증상이 없는 경우가 많고 암이 진행된 후에도 동일한 감기 증상인 기침과 가래 외의 특이 증상이 나타나지않아 증상만으로는 진단이 쉽지 않습니다.
폐암 역시 다른 암들과 마찬가지로 조기 발견 및 치료가 매우 중요하므로 일상 속에서 폐암 초기증상을 간과하지 않도록 주의를 기울여야 합니다. 따라서 긴 시간의 흡연, 간접흡연에 노출됐거나 평소 폐 기능이 좋지 않고 호흡기 질환에 잘 걸리는 예민한 편이라면 초기증상에 관해서 잘 알아뒀다가 이상이 있다고 생각되면 최대한 빨리 전문의를 찾아 정확한 검진을 받아보는 편이 좋아요.






폐암 이유
폐암의 공통 위험요소로 손꼽히는 이유가 되는 것으로 흡연이 있습니다. 흡연자는 비흡연자에 비교해 십몇 배는 더 폐암 발병확률이 높다고 하며 어느정도 기간 동안 흡연했는지에 따라 폐암 발생확률은 더더욱 더 높아집니다. 흡연자라고 해도 금연을 하게 되면 폐암 발병확률이 빠르게 내려간다고 하니 폐암이 걱정되신다면 가장 먼저 금연은 필수입니다.
간접흡연 외에도 공사장과 같은 곳에서 미세먼지나 석면, 비소, 라돈, 카드뮴 등 인체에 나쁜 성분에 노출되는 환경적 요인으로 폐암이 발병할 수 있고 유전적 요인으로도 폐암이 발병할 수 있다고 하네요. 가족 중 폐암을 앓았던 분들이 있다면 그렇지 않은 분들에 비해 2배 가량 더 폐암에 걸릴 확률이 높다고 하는데요 이렇듯 폐암은 나도 모르는 새에 발병할 수 있기 때문에 자신의 신체 상태를 빈번히 체크하여 폐암을 초기에 발견하는 것이 현명합니다.
폐암 초기증상
폐암 초기증상 - 기침
기침은 가장 통상적으로 나타나는 초기증상입니다. 기침은 감기나 기관지염, 천식 등 다른 호흡기 질환에서도 흔하게 나타나는 증상이라 대수롭지 않게 여기고 넘어가는 경우가 많은데요 연속적으로 기침 증상이 있다면 폐암 검사를 받아보는 것이 좋을겁니다.
가벼운 감기부터 폐암까지 기침의 까닭은 다양할 수 있답니다. 3주 이내에 사라지는 급성 기침은 주로 바이러스 감염에 의한 일시적인 증상이지만 기침이 오래 지속되면 갑상샘암, 후두암, 폐암이 진행된 상태일 수 있습니다. 3주 이상 기침이 멎지 않는다면 정확한 까닭을 파악해 치료하시는것이 좋을겁니다.






폐암 초기증상 - 상대정맥 증후군
상대정맥증후군 이란 상대정맥 주위에 폐암이 생겨서 상대정맥을 압박할 때 발생되는 증상을 말해요. 혈액순환 장애가 생겨서 머리와 팔이 심하게 붓게 되고, 호흡곤란, 가슴 정맥 돌출 과 같은 증상이 발생할 수 있습니다.
폐암 초기증상 - 만성피로
폐암증상으로 피로가 풀리지 않아 만성피로를 느끼게 됩니다. 보통 간이 건강하지 않으면 피로회복이 되지 않는다고 생각하는데 폐에 발생된 암세포가 주변에까지 전이되며 다른 장기들의 기능을 제한하기 때문일 수도 있습니다. 그렇기 때문에 단순 피로라고 생각하고 영양제만 복용하지마시고 반드시 병원에 가보는 것이 좋을 것 같습니다.
폐암 초기증상 - 목소리 변화
일반적으로 성대도 노화가 되며 목소리가 쉬기도 하지만 목소리가 변하는 것은 마른 쉰 목소리로 듣는 사람들이 듣기가 힘든 소리예요. 성대를 조절하는 곳이 기관지와 폐 사이에 있는데 이곳에 암세포가 발생해서 목소리가 변하므로 마른 쉰 목소리가 난다면 병원에 가봐야겠습니다.






폐암 4기 생존율
폐암은 3기 이상인 말기에 발견되는 경우가 대부분이라 예전에는 폐암 판정을 받으면 곧 사망이라고 부르는 말까지 있습니다. 하지만 요즘엔 의료기술이 발달하여 폐암 5년 생존율은 70%가 넘고 있답니다. 무엇보다 주기적인 건강검진으로 말미암아 폐암을 조기에 발견한 경우가 많아서라고 볼 수 있습니다.
세세히 살펴보면 인산화효소 변이 폐암 환자의 경우 5년, 상피세포 성장인자 수용체 변이 폐암 환자의 경우 1년~3년의 생존율을 보인다고 합니다. 하지만 요즘도 폐암을 3~4기에서 확진 받는 경우가 많다고 해요.
폐암 초기증상 - 흉통
폐암의 초기증상 중에는 흉통이 있어요. 위치에 따라 요통으로도 진행이 되기도 하는데요 흉통이 생기는 경우는 폐의 가장자리에 폐암이 발생할 때 나타나게 되어요. 흉막에 암이 인접해 위치하게 되면 바늘로 콕콕 찌르는 듯한 흉통을 느끼게 되며 폐암이 갈비뼈나 다른 부위로도 전이될 경우에도 흉통이 발생하고 요통으로도 발전 할 수 있어요.
폐암 초기증상 - 호흡 곤란
폐암 환자의 1/4에서 나타나는 동일한 증상으로 호흡곤란이 일어나는 이유는 다발성 폐전이가 폐 양쪽에서 발견되는 경우 발생할 수 있고 폐암과 또한 악성 흉수가 동반되는 경우 발생합니다. 일반적인 때와 다르게 숨이 차는 느낌이 들면서 숨을 들이쉬고 내쉴때 쌕쌕 거리는 소리나 나온다면 초기증상을 의심해 볼 수 있답니다.
폐암 초기증상 - 혈담
혈담은 쉽게 말해 가래에 피가 섞여나오는 경우입니다. 폐암이 폐 중앙부 기관지 부분과 근접해 있으면 나타나게 되는 혈담은 폐암환자의 25%이상이 경험하는 증상이므로 만일 기침을 할 때 심한가래나 혈담이 섞여 나온다면 즉시 병원에 방문하시기 바랄게요.






폐암 초기증상 - 체중감소
폐암을 의심할 수 있는 폐암 초기 증상은 다른 암과 마찬가지로 입맛이 떨어지고 전신 위약감이 생기는 증상입니다. 체중이 급격하게 감소할수도 있답니다. 따라서 최근에 식사량을 줄인다던가 식단 관리를 하지 않았는데도 일반적인 때 체중의 5% 이상의 체중 감소가 있다면 검진을 해보는 것이 좋습니다.
정상세포보다 성장 속도가 빠른 암세포는 많은 에 너지를 필요로 하기 때문에 암세포의 성장에 따라 체중감소가 나타날 수 있습니다. 특별한 까닭 없이 6개월 내에 10kg 이상 체중이 줄거나 체중의 10% 이상이 감소했다면 폐암 초기증상이라고 볼 수 있습니다.
폐암에 좋은 음식
폐암에 좋은 식품 - 복숭아
복숭아는 몸 내부에 있는 니코틴을 분해하고 손상된 폐조직을 소생시켜주어 폐와 폐암에 좋은 음식입니다.
폐암에 좋은 식품 - 해조류
해조류 중에서도 김과 파래를 들 수 있는데요, 김과 파래에는 메틸메티오닌과 비타민A가 풍부하여 담배의 니코틴 독을 해결해주고 그로 인해 손상된 폐의 점막을 보호하고 손상된 점막을 소생시켜주어 폐암을 예방하는데 효과적이라고 합니다. 폐암 치료 중인 분이라면 김과 파래를 드실 때는 함께 말려서 가루를 내어 밥 위에 뿌려서 먹게 되면 더더욱 더 효과적으로 자주 섭취할 수 있으니 참고하시기 바래요.
폐암에 좋은 식품 - 녹차
녹차가 폐 건강에 좋은 차로 손꼽히는데요 녹차에는 카테킨이라고 하는 폴리페놀에 분류되는 성분이 들어있어 항산화 작용과 함께 신체 안 니코틴 해독작용을 합니다. 흡연으로 인해서 몸 속에 축적된 담배의 독성을 몸 밖으로 배출시켜주는 녹차는 흡연을 한 이력이 있는 분들에게는 강력히 추천되는 차입니다. 폐 건강을 생각하신다면 커피 보다는 녹차를 드시는것이 좋습니다.






폐암에 좋은 식품 - 무
무는 흡연으로 기인해서 발생된 유독물질을 체외로 배출시켜주는 효과가 있어 폐와 폐암에 좋은 음식입니다.
폐암에 좋은 식품 - 생강
생강은 니코틴 해독 효과가 있으며, 기관지에 쌓여있는 가래를 제거해 주는 효과와 폐 세포의 재생을 원활하게 해줘주는 폐와 폐암에 좋은 음식입니다. 또 생각에 포함된 쇼가올이라 하는 성분은 의 확산을 막는 효과가 있으며 쥐를 통한 실험에서 폐암 전이 위험 감소 효과가 확인되었다고 합니다.
폐암에 좋은 식품 - 율무
율무는 폐 기능을 활성화 시켜주고, 흡연으로 말미암아 생기는 가래를 멈추게 해 주고 니코틴 해독 효과가 있는 폐와 폐암에 좋은 음식입니다.
폐암에 좋은 식품 - 마늘
마늘은 우리 민족 역사와 함께 해온 식재료로 단군신화에도 나올 정도로 역사가 오래된 식품입니다. 그만큼 마늘 효험은 우리의 육체에 여러 좋은 역할을 합니다. 마늘 섭취를 통해 폐로 통하는 혈액의 흐름을 좋게 해주며 폐에 좋은 기운을 보급 합니다. 폐암을 억제는 물론이고 성인병과 항암작용에 특효가 있는 식재료로 유명합니다.
폐암에 좋은 식품 - 당근
당근에 함유되어있는 많은 베타카로틴 성분이 점막을 보호해주며 비타민이 다양하게 들어있어서 항산화 작용 효과를 얻을 수 있기 때문이죠. 당근은 클로로겐산이라는 식물성 화학물질의 공급원인데요, 이 클로로겐산은 종양이 자라기 위해 필요한 혈액 공급을 막는 역할을 하기 때문에 폐암 진행을 억제하는 효과를 볼 수 있어요.






폐암에 좋은 식품 - 브로콜리
브로콜리에는 클로로필이라고 부르는 녹색색소 성분이 포함된데요 이 성분은 동맥경화를 막아주고 혈전 생성을 방지하고 혈액순환을 도와 항암작용 효과를 발휘해요. 이 모든 작용들이 한데 모여 폐 건강에 긍정적인 효과를 미치는 것입니다.
폐암에 좋은 식품 - 토마토
토마토는 우리의 육체의 다양한 기관에 좋은 역할을 하는데요, 폐암에도 좋답니다. 토마토의 붉은색을 나타내는 라이코펜 성분은 항암작용 효과적이고, 가지가지 대기오염으로부터 폐를 보호해주는 폐 기능 향상에 도움되는 폐와 폐암에 좋은 음식입니다.
토마토에는 암 위험을 낮추어주고 암에 대응하는 강한 화합물인 리코펜이 많은데요 종양의 성장을 억제시키고 폐암 세포가 분열하는 것을 방해하는 역할을 한다고 합니다. 리코펜이 많이 들어간 식품을 복용한 이들에게 실험한 결과 폐암 발병률이 낮았다고 합니다.
폐암 치료방법
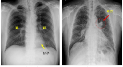
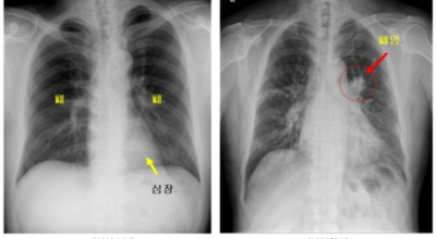
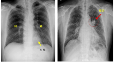
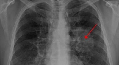
폐암 검사는 X-ray를 통해서 검사하는데 , 크기가 작거나 구석에 위치한 경우 확인이 어려운 경우도 있답니다. 그리고 조직 검사를 통해서 정확한 진단을 하게 되어요. 폐암이 발견되면 종양의 크기나 전이 여부 , 위치에 따라서 수술 여부를 결정하게 되어요.
수술 치료
악성 종양이 있는 폐의 일부를 절제하는 방법입니다. 초기에는 내시경 기구를 활용하여 수술이 가능하기도 합니다.
항암 치료
항암제를 이용한 치료 방법입니다. 폐암 4기 같은 경우에는 항암 화학요법이 유일한 치료방법이기도 합니다. 폐암에 대해서 알아봤는데요.
폐암 초기증상에 관해 전해드렸어요. 잘 참고하셔서 생활 속에서 도움 받으시기를 소망해요. 즐거운 하루 되세요.
서울근교 가볼만한곳 베스트10 인생여행지
주말에는 다들 가깝게라도 어딘가 다녀오고 싶어합니다. 한주 동안에 쌓인 피곤을 풀고 스트레스를 풀기 위한 것으로 나들이 만한게 없을텐데, 사실 시간적 여유가 없다면 멀리 떠나기는 힘들
ukaa.kevenferry.com
파인다이닝 뜻, 매너, 기본 상식
오늘은 얼마전에 갔던 파인다이닝에 관해 소개해 드려요. 얼마전 나혼자 산다에서 산다라박이 파인다이닝을 즐긴것이 화제가 된적이 있었습니다. 그럼 현 시점부터 파인다이닝 뜻을 알아보도
ukaa.kevenferry.com